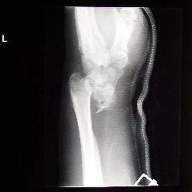
Left Wrist - Rock Climbing Fall

 
 

It all started when…

I fell off a cliff rock climbing in Boise at the Black Cliffs. If I remember right, my surgeon said the bone was 3 inches out out of place. It took 10 screws and a plate to put me back together that night (I also took 6 staple is my head that night too).